成都痛风医院亚太痛风联盟HGMC成都分中心
成都风湿医院四川省风湿免疫疾病大数据中心
成都痛风风湿病医院中国中医药促进会痛风风湿疑难病会诊基地
肌骨超声 4项指标7个关节超声诊断类风湿性关节炎
肌骨超声(musculoskeletal ultrasound,MSUS)技术是通过高频超声(3~17Hz)扫描提供优异的临床图像,以清晰显示肌肉等软组织层次关系及其内部机构来诊断肌肉骨骼系统疾病的新型超声检查技术。通过肌骨超声,医生可以分辨毫米级以下动态的这些组织结构肌肉、肌腱、韧带、关节囊、关节面及周围神经等浅表软的毗邻关系、形态大小、结构纹理、血流分布,从而获取这些组织器官的解剖变异、炎症、退行性病以及创伤等病变的全方位信息,从而对疾病进行精准评估。
虚线
肌骨超声在类风湿性关节炎上临床应用:
RA 是一种以侵犯关节滑膜为主要表现的多系统性自身免疫性疾病,临床上表现为多发性、对称性的关节肿胀、疼痛、活动受限,晚期可出现关节畸形和功能障碍。同时,RA 也是一种致残性的疾病,有研究表明,近50%的患者于病初2年内出现关节间隙变窄和/或骨侵蚀、骨破坏,但如能早期给予干预性治疗可以降低骨破坏。因此,RA的早期诊断是RA治疗、避免致残的关键。

在RA的传统诊断上,通常把血清类风湿因子及X线片改变作为依据,但近20年来已积累的大量医学资料普遍反映,这两项标准无助于RA的早期诊断。RA 病人的类风湿因子阳性率为50%-90%,所以出现类风湿因子阳性时,只能提示需进一步检查,不能由此确诊RA;X 线常常在关节破坏发病长达12月以后才能显示出相应的表现,而此时,部分活动性 RA 病人己发展为不可逆的关节破坏。

的欧洲抗风湿性联盟ACR/ EULAR2009关于类风湿性关节炎的诊断标准更加侧重于于类风湿的早期诊断,其中滑膜炎的确诊是4项构成条件之一,强调了滑膜炎症在类风湿性关节炎诊断中的地位。近十年来,肌骨超声在RA疾病诊断中取得了长足的进展,研究表明肌骨超声对类风湿滑膜炎症检出、早期软组织受损监测具有较高的特异度和敏感性。肌骨超声影像能清晰地显示关节腔滑膜增生形态、关节腔积液量多少和距体表的距离、滑膜的血流信号活动、软组织损伤及骨侵蚀程度,对RA早期确诊意义重大。
虚线
虚线
肌骨超声技术MSUS——类风湿可视化影像学检查“金标准”
1、动态观察滑膜血流信号,早期监测RA活动
肌骨超声血流成像可清晰反映滑膜的血流情况,观测滑膜周边及内部异常血流信号的增多、血管翳增生程度,以及呈现出点状、星点状或枝状的不同形态,做到在RA的早期发现异常图像变化。通过对图像中血流信号的多少及区域范围进行评分,以此来辅助判断RA的活动程度。

Ⅰ级血流
滑膜内异常血流信号:少量点状血流信号

Ⅱ级血流
滑膜内异常血流信号:较多点状,短线状血流信号

Ⅲ级血流
滑膜内异常血流信号:丰富的网状及树状血流信号
2、清晰显示滑膜异常形态,定量评估RA炎性
类风湿性关节炎以滑膜炎为基本病理改变,超声可观测到关节暗区的范围及厚度,判断有无滑膜增厚、显示不同程度的滑膜均匀或不均匀增厚,分辨滑膜呈绒毛状、团状或结节状结构向关节腔突起的形态。通过对滑膜厚度、水肿、炎性细胞浸润状况的分级、定量评估RA关节内滑膜的炎性程度。

Ⅰ级滑膜增生
轻度滑膜增生,不超过骨面 点连线

Ⅱ级滑膜增生
滑膜增生超过骨面 点连线,呈绒毛状,但不越过骨干

Ⅲ级滑膜增生
滑膜增生超过骨面 点连线,呈团块状延伸超过一侧骨干
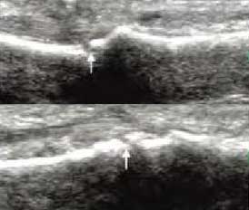
3、准确判断关节积液增加,精准判定RA严重程度
类风湿关节滑膜炎症会导致滑液渗出不断增多,形成关节腔积液。肌骨超声 少可发现1ml的积液,能对关节腔积液量及位置准确定位,通过检测判定关节腔内液性边界清楚的无回声区、细点状回声或细微的低回声条纹,判断其宽度和深度衡量积液量的多少,进而评估RA的严重程度。

Ⅰ级微量积液
滑膜囊内见前后径3.55mm液性暗区,呈椭圆形

Ⅱ级较多量积液
暗区内有团状高回声,可见深度达6.46mm液性暗区

Ⅲ级大量积液
关节囊扩张,可见大范围液性暗区,髌上囊积液深度达11.2mm
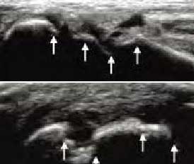
4、具备软组织超高分辨率 区分关节受损层级
肌骨超声通过平面成像能力发现RA关节软骨微小病变,早期就能准确反映出软骨下骨质线回声增高程度,关节软骨表面是否毛糙模糊凹凸不平、形态是否规则、有无明显隆起或缺损形成,判断早期RA软组织改变及RA骨质受损状况。

Ⅰ级
骨表面欠平整骨关节面边缘不整齐、模糊,形成不规则间隙

Ⅱ级
骨质中断或缺失骨表面出现弧形条状低回声,软骨表面不规则变薄、缺损形成

Ⅲ级
骨表面凹凸不平骨表面缺损融合成广泛的骨质破坏、侵蚀
肌骨超声在RA早期的诊断发方面具有独特优势,在RA治疗疗效监测中起着同样重要的作用。临床上,肌骨超声可通过对治疗过程中滑膜厚度变化、血流分级改变、关节腔积液增减的检测来评估病情活动程度,有利于判断临床疗效和制定下一步治疗方案。
国内外大量的实验研究均表明,肌骨超声技术可以帮助临床医生客观的评价关节炎症的存在,成为类风湿诊治过程中的一双慧眼,对类风湿早期诊断和快速判断治疗效果起到了非常重要的作用。
虚线
肌骨超声检测类风湿性关节炎四大优势:
1、实时动态精准影像。高频超声通过轻微被动或主动关节活动的动态检查定位关节囊,以高分辨率显像清晰显示关节病变,早期即可 反映病情。
2、无创无痛、操作安全便捷。MSUS无明确禁忌症,无放射性损伤,检查无创无痛苦,实现了安全便捷操作,可以在床旁、手术室、急诊室实时动态检测,检查时可同时进行医患之间的互动与交流,极大的提高了对治疗的全方位实时治疗情况跟踪,易于康复。
3、可视化检查。高性能探头发射超声波束并接收散射的回波,组织增强成像和XView算法处理等 成像技术,提供优异的高分辨率影像。全程处于“可视化”操作状态下,对患者病情做出准确评估,同时对处于康复过程中的患者也能进行实时有效的监测。
4、实现多关节部位同步检查。MSUS可一次对多个关节进行检查,能迅速获得结果,对于多关节病变省时而高效;而且MSUS易于双侧关节对比检查,便于发现某些细微的病变。
虚线
附:肌骨超声发展历程:
20世纪90年代,意大利医学家在一项针对运动员膝关节慢性肌腱创伤的研究中发现,肌骨超声可反映出关节周围血流信号的增加、滑膜增厚和骨膜下水肿的状况,自此肌骨超声在关节炎症的检查上开始受到意大利医学界关注。随后,意大利风湿病学学会联合佛罗伦萨大学医学院在全球范围内率先将肌骨超声诊断风湿关节病临床价值研究纳入科研项目。经过数百项实验室研究,肌骨超声被证实在不同类型风湿关节病早期炎症筛查和软组织分辨力上显示出自身独特的优势。肌骨超声可提供其他影像学、常规创伤性检查等无法得到的重要诊断信息,为风湿关节病精细化诊断开拓了一条全新的途径。意大利成为全球 将肌骨超声技术纳入风湿关节病临床必要检查的国家。随着该技术在风湿关节病检查领域优势的不断拓展,全球一些发达欧美国家,如英国、德国、美国等陆续正式将肌骨超声纳入风湿科常规检查。肌骨超声技术的成熟应用,已成为当今国际风湿关节病诊疗领域 权威性的可视化关节影像学检测“金标准”。

1972年

Mcdonald等利用超声诊断技术鉴别腘窝囊肿和小腿静脉血栓,标志着MSUS正式走上临床医学舞台。欧美大批医学医生开始投入到肌肉骨骼关节相关学科的临床研究中。
20世纪90年代

意大利风湿病学学会联合佛罗伦萨大学医学院在全球范围内率先将肌骨超声诊断风湿关节病临床价值研究纳入科研项目。经过数百项实验室研究,MSUS被循证医学证实可提供其他影像学、常规创伤性检查等无法得到的重要诊断信息,意大利成为全球 将肌骨超声技术纳入风湿关节病临床必要检查的国家。
1998年

以英国利兹大学风湿关节病和肌肉骨骼医学中心为主要发起机构,欧美多国研究中心在MSUS在风湿关节病临床诊断的方向科研立项并得以临床结果认证。
2002年

欧洲抗风湿病联盟(EULAR/ACR) 指南中将MSUS推荐作为RA诊断和疗效评估的影像学手段,标志着MSUS在关节病诊治中的重要作用已被临床广泛接受和认可。欧美一些发达国家自此开始将肌骨超声应用于风湿关节病常规检查。
2009年

北京大学 医院国内 将肌骨超声技术应用于炎性骨关节病临床诊断,作为国内 开始MSUS超声检查的风湿科,科室医生多次参加国际肌骨超声应用研讨会、欧洲抗风湿病联盟(EULAR)年会的肌骨超声标准化培训等,填补了我国风湿关节病影像学精准检测的医学空白,带动我国肌骨超声技术水平整体与国际接轨。
2015年

中国超声医学工程学会肌骨超声专委会的大力推动下,肌骨超声全面涉及到骨科、康复医学、疼痛医学、风湿免疫、中医学等等交叉学科,拓宽超声的应用范围,使得肌骨超声在各临床学科充分应用。
2017年

全国肌骨超声应用协作组培训基地成立,代表着国内多家三甲医院风湿科应用肌骨超声技术诊断风湿关节病水平非常成熟,自此,肌骨超声开始面向全国推广。
2018年

成都风湿医院率先从意大利引进肌骨超声,并获得该仪器检测在西南地区的临床应用与操作医生的授权资格,预示着我院在风湿关节病的高水平精准诊断领域已于国际接轨,处于国内领先地位,肌骨超声的引进必将大力推动西南地区风湿关节病可视化精细化诊断技术的全面发展。
2018年,成都风湿医院率先从意大利引进肌骨超声,并获得该仪器检测在西南地区的临床应用授权资格,预示着我院在风湿关节病的高水平精准诊断领域已与国际接轨,处于国内领先地位,肌骨超声的引进必将大力推动西南地区风湿关节病可视化精细化诊断技术的全面发展。
温馨提醒
以上文章内容为医生助理整理。若想了解更多信息,可点击在线导诊,专业风湿病医生为您在线解答。或免费拨打咨询电话: 028-86117707
吕万萍
蒙兴文
许军
周攀
李小兰
王洁
聂治民
-
一诊室主任
网络挂号数量:19582例 累计诊疗数量:20148位临床
擅长吕万萍主任,毕业于成都中医药大学,现任成都风湿医院一诊室主任、欧洲抗风湿病联盟(EULAR)会…【详细】
-
九诊室主任
网络挂号数量:15278位 累计诊疗数量:18425例临床
擅长蒙兴文主任长期从事风湿免疫病临床诊疗与医学研究工作,专于类风湿性关节炎临床诊疗,精于各类…【详细】
-
三诊室主任
网络挂号数量:18749位 累计诊疗数量:22784例临床
擅长许军主任毕业于成都中医药大学,现任成都风湿医院痛风科门诊主任,美国风湿病学会(ACR)国际会…【详细】
-
六诊室主任
网络挂号数量:16533位 累计诊疗数量:15965位临床
擅长周攀主任,毕业于成都中医药大学,现任成都风湿医院六诊室主任、美国风湿病学会(ACR)国际会员…【详细】
-
二诊室主任
网络挂号数量:10228位 累计诊疗数量:13588位临床
擅长现任成都风湿医院二诊室主任,美国风湿病学会(ACR)国际会员,同时是四川省残疾人福利基金会“…【详细】
-
十一诊室主任
网络挂号数量:8557位 累计诊疗数量:11684位临床
擅长王洁,现任成都风湿医院十一诊室主任、欧洲抗风湿病联盟会员、亚太痛风联盟HGMC成都分中心专家…【详细】
-
十诊室主任
网络挂号数量:56645 累计诊疗数量:37161临床
擅长★成都风湿医院风湿免疫科主任 ★四川省中医药信息学会痹症专业委员会委员 ★四川省风湿免疫…【详细】
个人信息授权和保护声明
感谢您信任并使用成都风湿医院自助挂号平台!我们非常重视保护您的个人信息和隐私。请您仔细阅读在本页面展示的个人信息授权及保护声明,确保在完全同意相关内容的基础上再提交您的信息。
1、本服务页面的实际运营者,即本服务页面展示的主体(以下简称“我方”)提供。
2、我方将按照法律规定收集、处理您的个人信息。本协议可能涉及您个人信息权益的重要约定,请您在提供个人信息前仔细阅读。一旦您在页面上提交了相关信息,即视为您同意本协议的全部内容。
3、为了进一步向您提供预约诊疗的相关信息,了解您的需求,需要您按页面的表单提交相关信息,提交的可能包括您的姓名、电话等,具体以页面展示的为准,我们使用前述信息的目的在于与您联络,确认预约信息。您有权拒绝提供上述信息,但可能无法获取进一步服务。如您提供了上述信息,您应保证所有信息真实、准确、完整、有效。
4、我方已采取符合业界标准的安全防护措施保护您的个人信息。
5、若您是未满18周岁的未成年人,请您和您的监护人仔细阅读本隐私政策,并在征得您的监护人授权同意或监护人指导下使用并向我们提供个人信息。
6、如您有任何投诉、建议或咨询,或有任何基于法律法规规定的权利请求,例如查询、修改、删除、撤回预约等,请通过本页面展示的联系方式与我们联系。
请您仔细阅读本《个人信息授权和保护声明》了解详细信息。如果您同意,请您点击“同意”开始使用我方自助预约挂号服务,我们将尽全力保护您的个人信息安全。
个人信息授权和保护声明
感谢您信任并使用成都风湿医院自助挂号平台!我们非常重视保护您的个人信息和隐私。请您仔细阅读在本页面展示的个人信息授权及保护声明,确保在完全同意相关内容的基础上再提交您的信息。
1、本服务页面的实际运营者,即本服务页面展示的主体(以下简称“我方”)提供。
2、我方将按照法律规定收集、处理您的个人信息。本协议可能涉及您个人信息权益的重要约定,请您在提供个人信息前仔细阅读。一旦您在页面上提交了相关信息,即视为您同意本协议的全部内容。
3、为了进一步向您提供预约诊疗的相关信息,了解您的需求,需要您按页面的表单提交相关信息,提交的可能包括您的姓名、电话等,具体以页面展示的为准,我们使用前述信息的目的在于与您联络,确认预约信息。您有权拒绝提供上述信息,但可能无法获取进一步服务。如您提供了上述信息,您应保证所有信息真实、准确、完整、有效。
4、我方已采取符合业界标准的安全防护措施保护您的个人信息。
5、若您是未满18周岁的未成年人,请您和您的监护人仔细阅读本隐私政策,并在征得您的监护人授权同意或监护人指导下使用并向我们提供个人信息。
6、如您有任何投诉、建议或咨询,或有任何基于法律法规规定的权利请求,例如查询、修改、删除、撤回预约等,请通过本页面展示的联系方式与我们联系。
请您仔细阅读本《个人信息授权和保护声明》了解详细信息。如果您同意,请您点击“同意”开始使用我方自助预约挂号服务,我们将尽全力保护您的个人信息安全。
个人信息授权和保护声明
感谢您信任并使用成都风湿医院自助挂号平台!我们非常重视保护您的个人信息和隐私。请您仔细阅读在本页面展示的个人信息授权及保护声明,确保在完全同意相关内容的基础上再提交您的信息。
1、本服务页面的实际运营者,即本服务页面展示的主体(以下简称“我方”)提供。
2、我方将按照法律规定收集、处理您的个人信息。本协议可能涉及您个人信息权益的重要约定,请您在提供个人信息前仔细阅读。一旦您在页面上提交了相关信息,即视为您同意本协议的全部内容。
3、为了进一步向您提供预约诊疗的相关信息,了解您的需求,需要您按页面的表单提交相关信息,提交的可能包括您的姓名、电话等,具体以页面展示的为准,我们使用前述信息的目的在于与您联络,确认预约信息。您有权拒绝提供上述信息,但可能无法获取进一步服务。如您提供了上述信息,您应保证所有信息真实、准确、完整、有效。
4、我方已采取符合业界标准的安全防护措施保护您的个人信息。
5、若您是未满18周岁的未成年人,请您和您的监护人仔细阅读本隐私政策,并在征得您的监护人授权同意或监护人指导下使用并向我们提供个人信息。
6、如您有任何投诉、建议或咨询,或有任何基于法律法规规定的权利请求,例如查询、修改、删除、撤回预约等,请通过本页面展示的联系方式与我们联系。
请您仔细阅读本《个人信息授权和保护声明》了解详细信息。如果您同意,请您点击“同意”开始使用我方自助预约挂号服务,我们将尽全力保护您的个人信息安全。
- 自助挂号平台
- 远程会诊平台
- 救助申请平台
远程会诊申请表
注:本测试结果由我院多名风湿科医生共同会诊,填写完毕后,请您耐心等候回电! 信息的真实性关系到医生的会诊结果,请您对照患者情况如实填写!
风湿患者
生活救助项目申请平台
本救助项目对痛风、类风湿性关节炎、强直性脊柱炎、风湿性关节炎、感染性关节炎、骨性关节炎、反应性关节炎、风湿热等主要风湿疾病的贫困风湿患者给予一次性生活救助。
申请须知
救助额度根据患者实际情况实行限额救助,具体比例为:
1、对"精准扶贫"建卡贫困户风湿免疫性疾病患者,生活救助金统一为1000元。
2、对家庭五保户或丧失劳动能力家庭风湿免疫性疾病患者,生活救助金为2000元。
3、对没有参加各类医疗保险,有低保证、残疾证等证明文件,但不属于"精准扶贫"建卡贫困户的困难家庭风湿免疫性疾病患者,生活救助金为1000元;
4、对已参加各类医疗保险,诊疗疾病属于报销范围的困难家庭风湿免疫性疾病患者,生活救助金为500元。
- 医生会诊
- 医院环境
- 仪器设备
- 公益事业






换一批
更多

































































